Current Evidence For Caries Prevention And Enamel Remineralization

Current Evidence For Caries Prevention And Enamel Remineralization

Prevention of dental caries | PPTX

Sep 18, 2016 · 4. Original ship dates 5. Current ship dates (if different) 6. whether or not you have received tracking info I myself entered my order contact email incorrectly so I didn't get an email. Mar 9, 2015 · Eudora would not let me add the certificate for outgoing mail; it would tell me I had not sent anything with SSL for the current session. If I went over to the inbound tab, it indicated a problem, but.

Role Of Saliva In Prevention Of Dental Caries at Harry Richey blog

Role Of Saliva In Prevention Of Dental Caries at Harry Richey blog

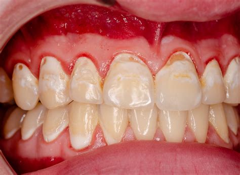
Caries Process And Prevention Strategies Demineralization

Caries Process And Prevention Strategies Demineralization ...

Read also: Tmj Courses For Dentist Looking To Treat Jaw Pain

close